WE OFFER
- Dentures
- Implants
- Root Canal
- Crowns (CAPS)
- Teeth Whitening
- Porcelain Laminates
- Bonding-White Fillings
- Treatment for Gum Disease
SEE SHORT VIDEO
See all videosInvisalign
Learn MoreWhat do you need to know
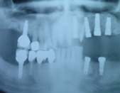
The term ‘Dental Implants’ refers to the surgical placement of artificial roots which help replace missing or badly damaged teeth. Other methods to replace missing teeth include dentures or bridges. The advantages of Implant tooth restoration is that it presents a more permanent solution.
Dentures are removable and tend to stay loose while they are worn. Full Dentures also affect the wearer’s diet. The ability to bite down can decrease by approx. 90%. Partial Dentures rely on adjacent teeth for help when biting. The long term affect of partial dentures leads to the loosening of the remaining teeth in the mouth. Dentures are recommended as a temporary resort or a last resort for patients that can not have implants due to medical complications, or lack of supporting bone.
Dental Bridges refers to the use of the adjacent teeth on either side of an empty space, to fill out the space and restore the function (or esthetics) of a missing tooth. Up until the invention of Implants, this procedure was considered the best way to restore the space created by a missing tooth. The two adjacent teeth are cut down and a cast metal and porcelain ‘suspension bridge’ is made to allow for the missing area to be filled out.
The advent of Dental Implants removed the need to cut down adjacent teeth to restore a missing tooth. In most cases an implant can fill out the missing space and restore the esthetic look of the area with no collateral damage. The adjacent teeth can live happily ever after, instead of needing to support a missing tooth, they now can enjoy the support of the adjacent implant crown.
The placement of Implants involves a short surgical procedure, which requires placing a screw-like structure into the jaw bone. The Bone and Implant need to integrate, this takes about 3-4 months, the Implant Fixture and final Implant Crown can be fitted.
The Mechanical aspect of the surgery can be seen in the accompanying video link: Single tooth replacement Video
![]() |
![]() |
![]() |

718-380-2136




